정확한 진단을 통하여 무조건 비수술적 치료, 무조건 수술적 치료가 아니라 
환자의 상태에 맞는 최선의 치료를 선택할 수 있게 합니다.
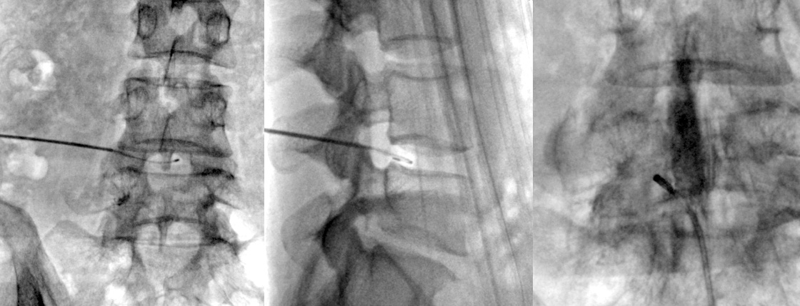
고주파 수핵 성형술은 디스크가 완전히 파열되지 않거나 아직 나이가 젊고 상태가 수술할 정도로 심각하지 않을 때 적용할 수 있습니다.

마취 없이 이뤄지며 약물을 전혀 사용하지 않기 때문에 
당뇨 환자도 합병증에 대한 우려 없이 자유롭게 시술 받을 수 있는 것도 
고주파수핵성형술(IDET)의 장점입니다.

“ 언제, 얼마나 통증이 발생하시나요? ”
					
				고주파수핵성형술은 디스크가 완전히 파열되지 않거나 아직 나이가 젊고 상태가 수술할 정도로 심각하지 않은 경우에 적용됩니다. 
직경 2mm 이내의 가느다란 주사바늘을 문제가 생긴 디스크에 병변에 고주파에너지를 쏘아 척추신경을 압박하는 
디스크내의 분자를 분해하고 녹인 후 수축 응고시키는 치료 방법입니다.

전신마취가 아닌 부분 마취 후 간단한 시술방법으로 조기 보행이 가능하고, 심하게 무너진 척추골의 높이를 교정할 수 있습니다. 
회복기간도 짧아 많이 적용되는 치료 방법입니다.
							
							
							※ 주의사항 : 수술 및 시술 후 국소감염, 부분출혈 및 일시적 신경마비와 같은 부작용이 드물게 발생할 수 있어 
본 수술 및 시술 시행시 사전검사 및 의료진과의 전문상담이 필요합니다.
							
							* 환자에게 받은 소중한 자료입니다.